歯を失った際に行うインプラント治療
こんにちは、くまざきデンタルクリニックです😊
今回は当院で行なっているインプラント治療についてご説明します✨
歯を失った場合の治療は?
むし歯や歯周病、根の先の病気や歯が折れてしまったなど、歯を失う理由はいくつかありますが、失った歯を補う治療はいくつかあります。
① インプラント
失った歯の部分の顎の骨の中にインプラントと呼ばれるチタン製のネジを手術で埋入し、その部分に被せ物を連結する方法です。人工歯根とも呼ばれ、失った歯の部分のみの治療で完結できますが、インプラントを埋入する手術が必要です。
② ブリッジ治療
失った歯の前後の歯を削り、つながった被せ物を装着する方法で、前後の歯で支える橋の様な形をしているためブリッジと呼ばれます。インプラントの様に手術は必要ありませんが、前後の歯を大きく削るため、健康な歯に与えるダメージは大きいです。セメントで固定するため取り外しはできません。
③ 取り外し式の部分入れ歯
基本的には失った歯の前後、大きな場合にはさらに多くの歯に対して、留め具によって固定します。部分入れ歯と呼ばれ、ご自身で取り外しをして清掃する必要があります。インプラントやブリッジと比較して装置が大きいため違和感が出たり、噛む力も小さくなります。手術や歯を削る必要がほとんどないため、治療によって体に与えるダメージは小さいです。
このように、すべての治療において、メリットやデメリット、リスクやベネフィットが異なるため、それぞれの点を考慮しながらどういった治療を選択するのか決定していく必要があります。
インプラントの手術を安全に、より精確に行うためのガイデッドサージェリー
当院ではすべてのインプラント治療の手術において、術前にCT撮影と口の中のスキャンを行い、インプラントのシミュレーションを行った上で手術用のマウスピースを作製し、ガイデッドサージェリーを行っています。
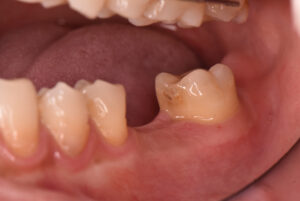
奥歯を失った場所に対するインプラント治療
このように奥歯を失った場合に、いくつかの治療法があります。
今回は両隣の歯が健康であったため、インプラント治療を行うこととなりました。
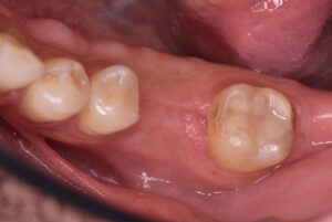
インプラントの埋入手術が終わり、インプラントが骨と結合するのを待ってから最終的な被せものを作製してきます。
当院ではすべての症例で、一人ひとりの口の中の状態に合わせたチタン製の土台を作製し、その上にセラミックを被せています。
セラミックの噛む面には小さな穴が開いており、必要に応じて専用のドライバーを用いて取り外すことが可能となっています。

インプラントを口の中に装着した写真です。セラミックの噛む面に開けている穴は、むし歯の治療の際に用いるコンポジットレジンを詰めています。
インプラント周囲の歯ぐきは、天然の歯の周囲の歯ぐきよりも細菌の感染に対して弱いため、より丁寧なブラッシングとメインテナンスが必要です。
両隣の歯に対して負担をかけることなく、失った歯を回復させることができる事は、インプラント治療の最大のメリットだと考えています😊
今回行った治療は
治療内容:奥歯に対するインプラント治療
費用:610,000円(税込)(自由診療)
治療期間:6ヶ月
治療回数:7回
リスク:埋入したインプラントが骨に結合しない場合があります。作製したインプラントのセラミックやインプラント体自体が強い力によって破損する可能性があります。適切な清掃が行われず口腔衛生状態が不良となるとインプラント周囲の歯ぐきや骨に炎症を起こすことがあります(インプラント周囲炎)。
くまざきデンタルクリニックは
名古屋市千種区にある歯科医院です✨
地下鉄東山線「池下駅」徒歩4分、東山線桜通線「今池駅」徒歩6分🚇
市バス「仲田停留所」徒歩1分🚌
お車の方は提携駐車場をご利用ください🚗
住所:愛知県名古屋市千種区春岡1丁目1−11
お電話:052−753−5086


