前歯をダイレクトボンディングで審美的かつ強度に接着させる治療|くまざきデンタルクリニック|池下駅の歯医者|ネット予約・キャッシュレス

〒464-0848愛知県名古屋市千種区春岡1丁目1番11号
アイコン052-753-5086
  • LINE
WEB予約
ヘッダー画像

症例集・ブログ

前歯をダイレクトボンディングで審美的かつ強度に接着させる治療|くまざきデンタルクリニック|池下駅の歯医者|ネット予約・キャッシュレス

前歯をダイレクトボンディングで審美的かつ強度に接着させる治療

こんにちは、くまざきデンタルクリニックです✨

今回はダイレクトボンディングと呼ばれる方法で、上の前歯を審美的に、かつ歯を削る量も最小限として治療を行なった症例をご案内します😊

ダイレクトボンディングとは

コンポジットレジン(歯科用樹脂)をダイレクトボンディングと呼ばれる方法で直接歯の表面に接着させる方法です。

固まる前のコンポジットレジンを充填し光を照射して固めるため、形に制限がなく狭い範囲や複雑な形を作ることが可能です。

そのため、型取りをしてセラミックを作製するよりも自身の歯を削る量を減らせることが可能です。

型取りをするセラミックと異なり、口の中で複数の色の樹脂を用いて天然の歯の色を再現するため、術者の技術によって仕上がりに大きな差が出てしまうことがあります。

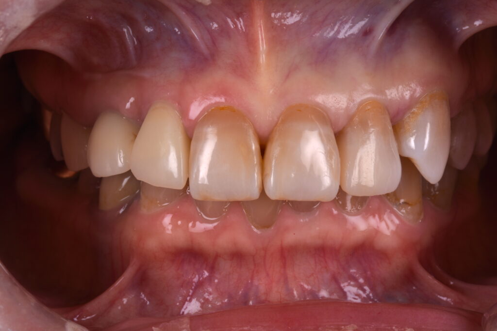
昔のコンポジットレジンの変色と2次カリエス(過去の治療の再発)

過去に上の前歯の複数歯に対してコンポジットレジンが充填されており、その部分が経年的に変色しています。また、詰め物の内部が黒くなっており、2次カリエス(むし歯の再発)にもなっています。

こういった場合ん治療方法は

①歯を大きく削って被せ物(クラウン)を装着する

②歯の表面を部分的に削ってラミネートベニア(セラミック製の付け爪のようなもの)を装着する

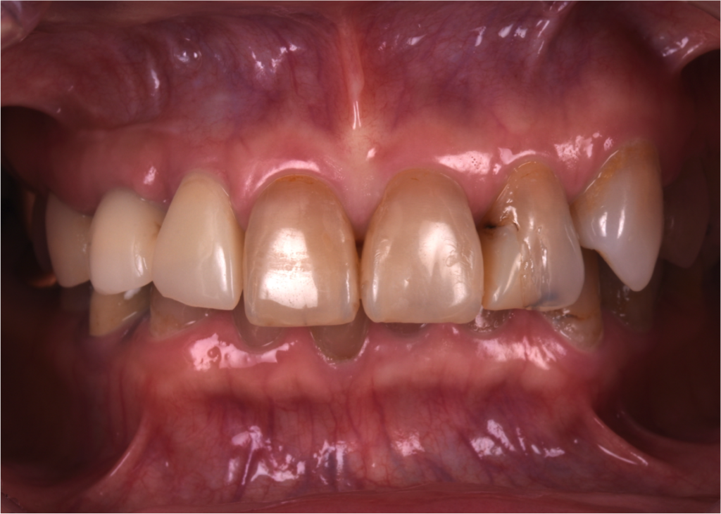
③古いコンポジットレジンとむし歯を取り除き、その部分にダイレクトボンディングによりコンポジットレジンを接着させる

それぞれの治療においてメリットとデメリットがありますが、今回は自身の歯をなるべく削らないことに重点をおいて、③のダイレクトボンディングにより治療を行うこととしました。

 

 

周囲の歯の色と馴染ませるために、数種類の色のコンポジットレジンと用いて積層に充填を行い研磨をしました。コンポジットレジン(歯科用樹脂)の歯に対する接着力や物性の向上により、綺麗な状態が長続きするようになってきました。

ご自身の天然の歯を最大限残せることが、このダイレクトボンディングの大きな魅力だと思います😊

 

今回行った治療は

治療内容:前歯のダイレクトボンディング(歯科用樹脂を充填する治療)

費用:1歯60,000円(税込)(自由診療)

治療回数:2回

リスク:接着した歯科用樹脂の経年的な色調の変化、部分的な破損

 

くまざきデンタルクリニックは

名古屋市千種区にある歯科医院です✨

地下鉄東山線「池下駅」徒歩4分、東山線桜通線「今池駅」徒歩6分🚇

市バス「仲田停留所」徒歩1分🚌

お車の方は提携駐車場をご利用ください🚗

住所:愛知県名古屋市千種区春岡1丁目1−11

お電話:052−753−5086