天然の歯を削らずに治療する 〜前歯に対する接着ブリッジ〜
こんにちは、くまざきデンタルクリニックです✨
今回は前歯を失った際に行う治療である接着ブリッジについてご案内します😊
歯を失う原因は?
① むし歯:むし歯によって自身の歯がほとんど残っておらず、その上に被せ物を作製できない場合
② 歯根破折:根管治療を行なった歯は、歯の土台である歯根が折れてしまった場合
③ 歯周病:歯を支えている骨である歯槽骨が歯周病により吸収し、噛む力を支えることができなくなった場合
④ 根尖病巣:根管治療を行なった歯の根の先に膿がたまり、根管治療を行なっても治癒しない場合
⑤ 外傷:転倒や事故により歯が折れてしまった場合
大きく分けるとこれらの場合が当てはまります
歯を失った時に行う治療は?
歯を失った時に行う治療は以下の方法があります。
① ブリッジ:残った歯を土台として、作製した歯をセメントで固定する方法で、取り外しは不可
② 入れ歯:残った歯に留め具を引っ掛けることで歯を装着する方法で、取り外しは可能
③ インプラント:歯を失った部位の骨にチタン製の人工歯根を埋入し、歯を作製する方法
④ 移植:親知らずなどの残す価値のない歯を抜歯した部位に移植する方法
それぞれの方法にメリットやデメリットがあるので、それらをしっかりと相談した上で治療方針を決めていきます。
歯をほとんど削らないブリッジ治療 〜接着ブリッジ〜
ブリッジ治療の場合、従来の方法では抜歯した歯の両隣の歯を大きく削り、歯の全てを覆うクラウンを作製し繋がった物を作製していました。この方法では健全な歯も含めて削ることが大きなデメリットでした。
自身の歯が治療歴がなく健全で、歯周病にもなっていない場合、歯をほとんど削らないブリッジ治療である接着ブリッジにより歯を作製できる可能性があります。
外傷によって歯を失い、接着ブリッジにより歯を作製



右上の前歯を転倒により強打し、歯根が破折してしましました。
このように深い位置で折れてしまった場合、保存ができないので抜歯が必要となります。
この画像は歯を3次元的に見ることができるCT画像で、明らかな破折している線が確認できました。
今回は隣の歯が健全であったため、接着ブリッジにより歯を作製することとしました。

抜歯直後の口の中の写真です。
抜歯と同日に仮の歯を入れることで見た目の改善を図っています。この時は噛み合わせを全く与えていないため、隣の歯よりも短くしています。
また、抜歯を行うと残っていた周囲の骨が吸収し審美的に不利になるため、抜歯と同時に歯槽堤温存術(Alveolar ridge preservation)と呼ばる方法で、可能な限り骨が吸収しないような治療を併用しています。
この状態で歯ぐきや歯槽骨が治癒するのを待ってから最終的な歯を作製していきます。

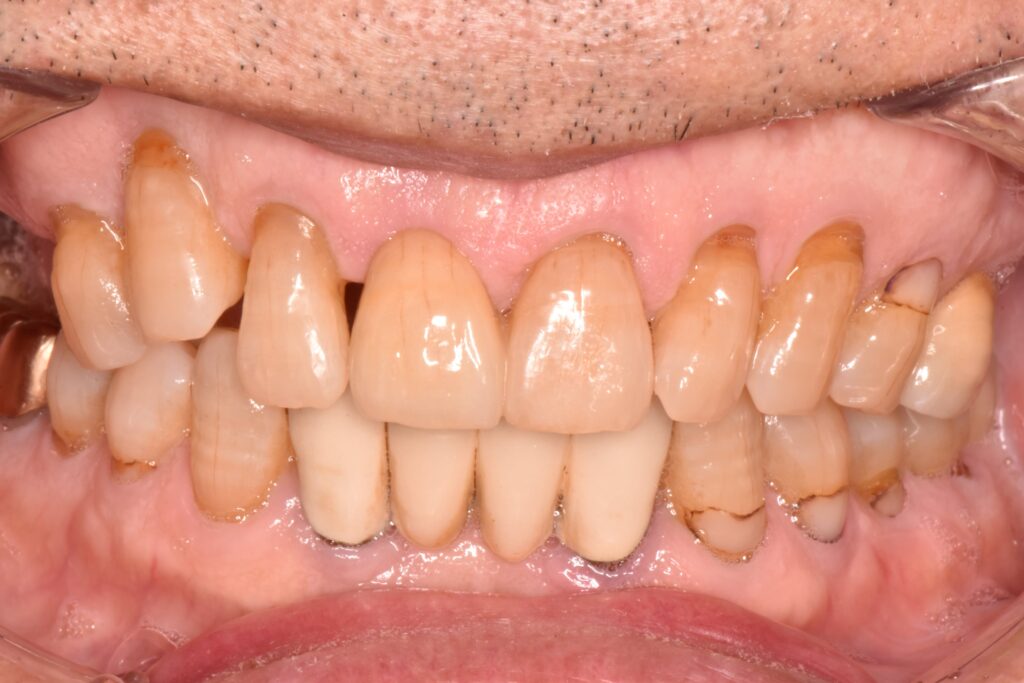
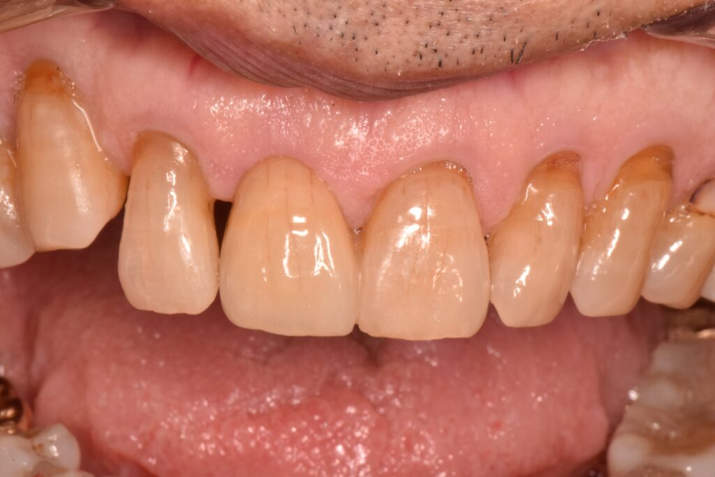
歯ぐきが綺麗に治癒するとこのように歯ぐきが凹んだ形となります。

片方の裏側だけに支えを持たせて、接着を行いました。支えとなっている部位はほとんど削らずに治療をしています。

抜歯直後から治療を行ったことで可能な限り審美的に治療を行うことができました。
接着ブリッジによる治療は、脱離するリスクは報告されていますが、長期に生存することが論文的に証明されています。歯をほとんど削っていないことは、とても大きなメリットだと思います😊
歯周病や噛み合わせ状態、残っている歯の状態によっては接着ブリッジが適応できない場合もあり、気になる方はまず当院での診察をお受けください。
くまざきデンタルクリニックでは可能な限りご自身の歯を残すことを目標としています。
ぜひ一度ご相談ください✨
今回行った治療は
治療内容:右上前歯に対する接着ブリッジと歯槽堤温存術
費用:311,200円(自由診療・税込)
治療回数:5回
リスク:セラミックの部分に強い力がかかった場合、セラミックが一部または全部破損する場合があります。
くまざきデンタルクリニックは
名古屋市千種区にある歯科医院です✨
地下鉄東山線「池下駅」徒歩4分、東山線桜通線「今池駅」徒歩6分🚇
市バス「仲田停留所」徒歩1分🚌
お車の方は提携駐車場をご利用ください🚗
住所:愛知県名古屋市千種区春岡1丁目1−11
お電話:052−753−5086


