前歯の隙間を歯を削らずに審美的に改善✨
- 2025年11月30日
- ラバーダム防湿,ダイレクトボンディング,審美治療,症例集
こんにちは、くまざきデンタルクリニックです✨
今回は上の前歯のすきっ歯に対して、ダイレクトボンディングと呼ばれる方法で、歯を削らずに審美的に改善した症例です😊
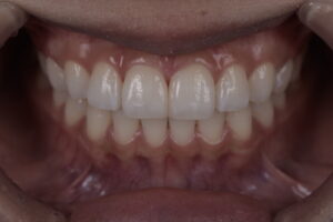
上の歯の真ん中の部分に隙間が残った状態は、正中離開と呼ばれています。子どもの場合は永久歯の生え変わりに伴って閉じていくことが多いですが、大人の歯が生え揃った後に残った隙間は自然に閉じることはありません。
見た目が気にならない場合は治療の対象とはなりませんが、前歯であるため見た目が気になる場合は審美的に改善する必要があります。

写真のように上の前歯の間に隙間が残っています。
この隙間を審美的に治療する方法は
1️⃣ 歯科用樹脂を歯を削らずに直接歯の表面に接着させるダイレクトボンディング
2️⃣ 歯並びを治す、歯列矯正
3️⃣ 最小限に歯の表層を削り、ラミネートベニアと呼ばれるセラミックを装着する
歯を削らないこと、可能な限り時間をかけないこと、この二つの条件を満たすダイレクトボンディングを用いて治療をすることとしました。

治療の際にはラバーダム防湿と呼ばれる方法で歯を孤立させ、唾液や呼気中の湿気を排除して接着操作を行なっていきます。
いくつかの色の歯科用樹脂を積層充填し、研磨をして終了です✨
ご自身の歯を削らず、短期間で治療できるのはダイレクトボンディングのメリットです✨
治療後は定期的なメインテナンスに来ていただいて、表面のクリーニングを行うことで光沢が長続きします😊表面の光沢感が失われてきた場合には、再度専用の研磨剤を用いて研磨することで、光沢感が回復します。
今回行った治療は
治療内容:前歯の正中離開のダイレクトボンディング(歯科用樹脂を充填する治療)
費用:120,000円(自由診療)
治療回数:2回
リスク:接着した歯科用樹脂の経年的な色調の変化、部分的な破損
くまざきデンタルクリニックは
名古屋市千種区にある歯科医院です✨
地下鉄東山線「池下駅」徒歩4分、東山線桜通線「今池駅」徒歩6分🚇
市バス「仲田停留所」徒歩1分🚌
お車の方は提携駐車場をご利用ください🚗
住所:愛知県名古屋市千種区春岡1丁目1−11
お電話:052−753−5086


